Profilaktyka- skaling i piaskowanie

Profilaktyka- skaling i piaskowanie

Profilaktyka jest podstawą w stomatologii. Oczywistym jest, że zapobiegać jest przyjemniej, łatwiej i taniej, niż leczyć, dlatego przykładamy dużą rolę do edukacji pacjentów w zakresie higieny jamy ustnej.

W ramach profilaktyki jamy ustnej oferujemy:

  • Badanie jamy ustnej
  • Instruktaż higieny jamy ustnej
  • Fluoryzacja w profilaktyce przeciwpróchnicowej i leczeniu nadwrażliwości
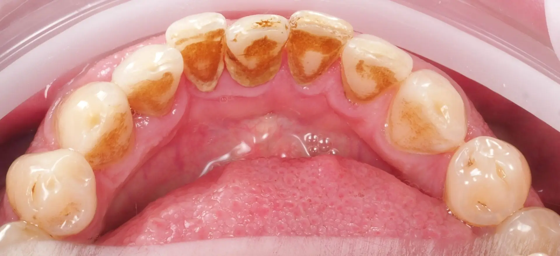
  • Usunięcie złogów nazębnych za pomocą skalingu oraz piaskowania
  • Lakierowanie zębów
  • Diagnostyka schorzeń jamy ustnej za pomocą cyfrowego aparatu RTG

Skaling i Piaskowanie Zębów w Gorzowie – Profesjonalna Higienizacja Jamy Ustnej

Witaj w naszej klinice, gdzie oferujemy kompleksowe usługi higienizacji jamy ustnej, w tym skaling i piaskowanie zębów w Gorzowie. Nasz zespół specjalistów zadba o Twoje zdrowie jamy ustnej, oferując skuteczne zabiegi, które poprawiają wygląd zębów oraz zapobiegają wielu problemom stomatologicznym.

Skaling w Gorzowie – Skuteczne Usuwanie Kamienia Nazębnego

Skaling to zabieg polegający na usuwaniu kamienia nazębnego, który może gromadzić się zarówno ponad, jak i poniżej linii dziąseł. Regularne skalingi zębów w Gorzowie pomagają w zapobieganiu chorobom dziąseł, takim jak zapalenie dziąseł czy periodontopatie. Dzięki nowoczesnym technologiom oraz precyzyjnemu podejściu, skaling w naszej klinice jest dokładny, bezpieczny i skuteczny.

Piaskowanie Zębów w Gorzowie – Idealna Higienizacja

Piaskowanie to zabieg, który doskonale uzupełnia skaling zębów w Gorzowie. Dzięki zastosowaniu specjalistycznego piasku stomatologicznego, piaskowanie skutecznie usuwa płytkę nazębną, przebarwienia oraz osady, które powstają na skutek picia kawy, herbaty, palenia papierosów czy jedzenia barwiących pokarmów. Piaskowanie zębów w Gorzowie nie tylko poprawia estetykę uśmiechu, ale także zapewnia świeży oddech oraz zdrowie Twoich dziąseł.

Dlaczego Higienizacja Jamy Ustnej jest Ważna?

Regularna higienizacja zębów, w tym skaling i piaskowanie, jest kluczowa dla utrzymania zdrowia jamy ustnej. Kamień nazębny i płytka bakteryjna mogą prowadzić do wielu problemów stomatologicznych, w tym próchnicy, chorób dziąseł oraz nieświeżego oddechu. Dlatego warto zadbać o odpowiednią higienizację, która pozwoli uniknąć kosztownych i bolesnych leczeń w przyszłości.

Profesjonalna Higienizacja Zębów w Gorzowie

Nasza klinika oferuje kompleksową higienizację jamy ustnej w Gorzowie. Dzięki nowoczesnym metodom oraz indywidualnemu podejściu do każdego pacjenta, nasze zabiegi są bezpieczne, komfortowe i skuteczne. Nasi doświadczeni specjaliści zadbają o Twoje zęby, zapewniając Ci zdrowy, piękny uśmiech na długie lata.

Skontaktuj się z nami, aby umówić się na konsultację lub zabieg skalingu i piaskowania zębów w Gorzowie. Czekamy na Ciebie!